
歯科
お口の健康が
長生きの第一歩
dental
歯科について
犬や猫の多くがかかる歯周病は、早期発見と定期的なケアが重要です。
当院では、歯科検診から歯石除去、予防指導まで幅広く対応し、ペットが健康に過ごせるようサポートしています。
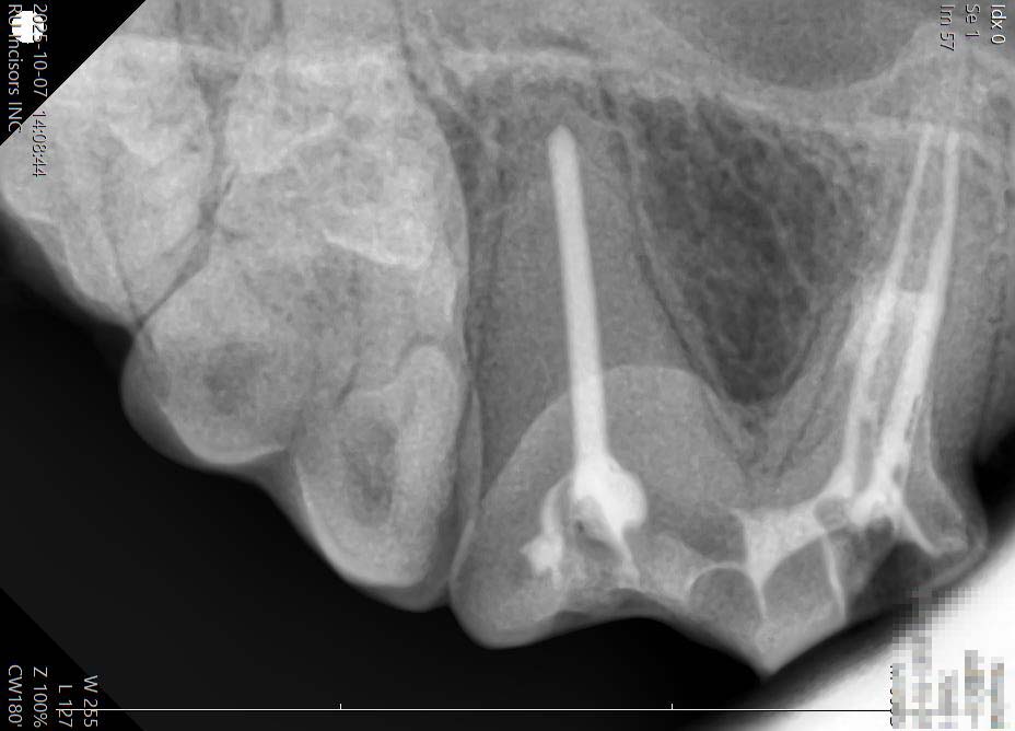
また歯科専門医や人間の歯科医と連携して歯を抜かない(抜歯)最先端の根管治療も行っております。


Feature
特徴
お口のトラブルは痛みや口臭だけでなく、全身の病気にもつながることがあります。当院ではペットの健康を長く守るために、歯科診療にも力を入れています。その取り組みの中で、特に大切にしているポイントを3つご紹介します。
1.
定期健診で早期発見・予防
犬や猫に多い歯周病は、気づかないうちに進行してしまう病気です。当院では定期健診や歯科検診を通じて、早期発見と予防に力を入れています。

2.
歯磨き指導・デンタルグッズのご提案
健康な歯を保てるよう、飼い主様に歯磨きの方法を丁寧に指導しその子にあったデンタルグッズのご提案を行っております。また歯科処置後のアフターケアにも力を入れることで長期定期にお口の健康を守ります。

3.
歯科レントゲンの活用
当院では歯科治療の際に歯科レントゲンを活用し、目に見えない部分まで正確に把握しています。これにより、安全で確実な手術や治療を行うことができ、飼い主様にも安心して頂けます。

department
対象となる症状
以下に、主に診ている症状や内容をまとめましたので、ご来院の参考にしてください。
- 歯周病
- 歯石の付着
- 口臭
- 歯肉炎
- 歯のぐらつき
- 歯が痛そう
- 歯が折れた
- 口周りの腫れ
- よだれが多い
FLOW
診療の流れ
問診から当日、手術後までの流れについてご紹介します。
STEP 01
問診
飼い主様から普段の食事内容や歯磨き習慣、口臭や食欲の変化などを詳しくお伺いします。日常生活での小さな変化も歯科疾患の早期発見につながります。
STEP 02
検査
口腔内の視診や触診を行い、歯石の付着具合や歯肉の炎症、口臭の有無などを確認します。必要に応じてレントゲンや血液検査なども行い、治療方針を検討します。
STEP 03
診断
検査結果やお口の状態を総合的に判断し、どのような治療が最適かを見極めます。動物の年齢や体調も考慮し、その子に合わせた治療方針をご家族の方と一緒に相談して決めていきます。
STEP 04
治療
スケーリングによる歯石除去や、必要に応じた抜歯を行います。全身麻酔下では歯科レントゲンを活用し、見えない部分まで確認しながら安全かつ確実な治療を実施します。
STEP 05
術後治療
処置後は口腔内の状態を写真付きで丁寧にご説明し、歯磨き方法やデンタルグッズのご提案をいたします。ご家族でのケアをサポートし、再発予防につなげています。
blog
関連ブログ紹介
症状や治療について、より分かりやすくお伝えするため、ブログでも情報発信を行っています。
予防歯科が愛犬・愛猫の健康寿命を守る|定期検診と早期介入の重要性
子犬や子猫から始める予防歯科|未来の歯を守るための専門ケア
Contact
お問い合わせ
・ご予約
当院は予約診療とさせていただいております。
待ち時間が長いのは動物にとっても飼い主様にとっても大きなストレスです。
また、丁寧な診察を心掛けているため一件当たり30分ほどお時間を頂いております。
どうぞご理解のほどよろしくお願いいたします。 土日は込み合いますのでお早めにご予約をお願いいたします。



